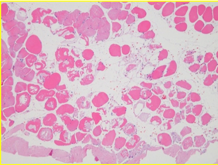
Necrosi


La cellula che accidentalmente muore, in risposta ad un danno acuto dovuto a trauma, mancanza di supporto sanguigno e componenti chimici o farmaci.
Queste cellule non sono soggette ad alcun meccanismo regolatore e selettivo, e quindi muoiono attraverso un processo di necrosi.


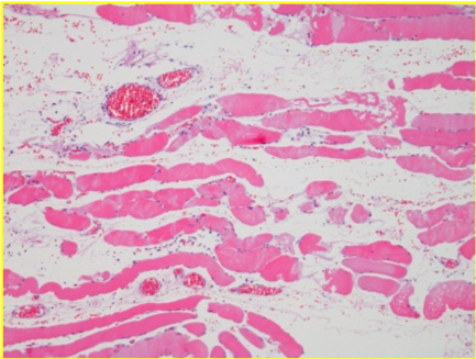
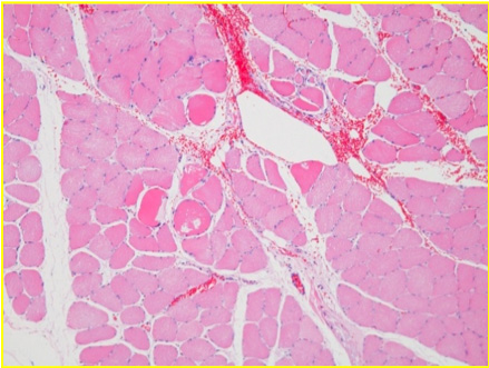
ESPERIMENTO
dopo 0.05 ml iniezione di endopeel
Department of Organ and System Research,
Akita University, School of Medicine and
YMC-Biyou Yokohama Minato and Shinjuku Clinics
ANALYSIS :Sapporo pathological Research Institute Ltd.
Le cellule in stato di necrosi usano gonfiarsi e conseguentemente esplodere, versando tutto loro contenuto nell` ambiente circonstante la cellula, contaminando lo spazio intorno, dove risiedono le cellule circostanti, causando un` azione di risposta infiammatoria ,diffondendo come un effetto a scacchiera , avanzando come fattore degradativo.
La Necrosi é un processo in qui c`é una perdita in termini energetici (conseguentemente c`é perdita di fattori segnaletici), conducendo ad un difetto metabolico conseguente la perdita del gradiente ionico (questi gradienti sono presenti entrambi le 2 parti della membrana cellulare plasmatica )