
01
Gruppo
di Studio
Esperimentatori : R.Mené,M.Kim,A.Tenenbaum,M.Tiziani
N= 29 Ratti Wistar
Peso medio : 421g
Origine degli animali : Biotério Central of Campus of Ribeirão Preto of São Paulo University
Mantenimento : Experimental Pathology Lab of Pathology Department on Medicine School of Ribeirão Preto – USP
Custodia degli animali : scatole di polipropilene
Cibo per Animali : dieta basica con acqua del laboratorio
Condizioni dell`illuminazione : luce naturale/cicli di buio sotto condizioni basiche controllate.
Experimentators : A.Tenenbaum,M.Tiziani,R.Mené,Kim

02
Utilizzo degli Animali & Campioni Istologici
Microscopia Convenzionale
I topi eranno sotto eutanasia in camere a CO2.
- Incisione della cute con lama nº 23
- Esplorazione ed Isolazione del muscolo pretibiale usando forbici di Metzenbaum.
- Sezione dei tendini con forbici di Mayo .
- Fissazione di Porzioni dei muscoli su matrice di sughero di quercia.
- Incorporazione usando 50% di soluzione al formaldeide - 10% tamponato e 50% di paraffina pura per lo studio sotto microscopio ottico convenzionale.
- Colorazione delle matrici come processo istologico di routine.
- Microtomo usato : Leika RM 2155
- Colorazione dei campioni di muscolo con: ematoxillina-eosina, tricromo di Masson e picro-sirius rosso
- Esaminazione Istologica era realizzata con microscopio convenzionale (Olympus BH2).
- Osservazione sotto luce polarizzata
- La documentazione fotografica era realizzata con microscopio Leika DMR collegato alla camera digitale Leika CD 300F e compatibile con PC.

03
Materiale
6 ratti/scatola
- Gli Animali furono divisi in 6 scatole, come seguente :
- 5 ratti per scatola, dalla Nr 1 alla Nr 5.
- 4 ratti nella scatola Nr 6 - Tutti gli animali erano sottoposti ad una valutazione della camminata con impronte dei piedi su carta speciale ,e previa immersione delle zampe posteriori in una soluzione di sapone
- La Scatola Nr 1 aveva il gruppo di controllo, dove questi ratti avevano ricevuto l`applicazione di 0,1 ml di soluzione salina ( NaCl 0,9%) iniettata nel muscolo pretibiale destro.
-
I ratti delle scatole da 2 a 5, hanno ricevuto 0,1 ml del Prodotto Originale Endopeel nello stesso muscolo come nel gruppo di controllo.
-
La scatola Nr 6 era constituita di 4 ratti, e ciascuno aveva ricevuto 0,5 ml del Prodotto Originale Endopeel, questa volta iniettato nello strato subcutaneo.
-
Tutti i ratti erano sottoposti alla valutazione della camminata prima e dopo le rispettive iniezioni.

04
Metodi
Gli Animali erano studiati dopo
10 giorni- 1 mese- 3 mese -7 mese
10 giorni- 1 mese- 3 mese -7 mese

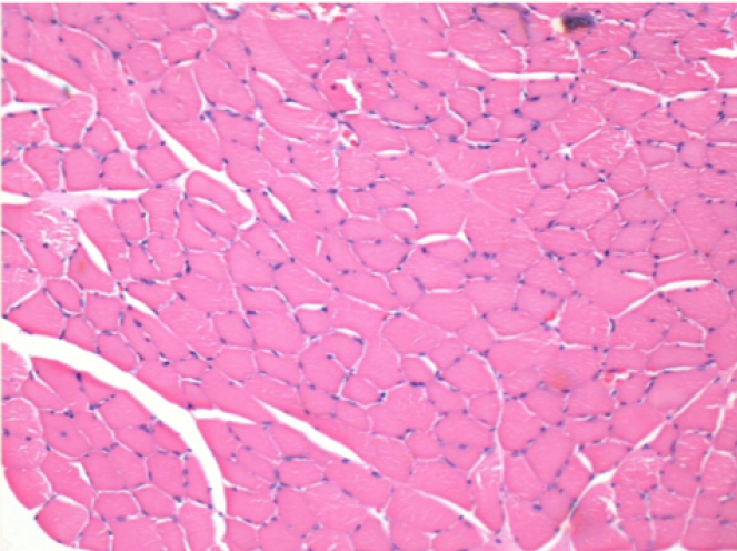
05
Controllo
Dopo iniezione di NaCl 0.5%
Commento : Niente da dichiarare dopo iniezione di soluzione fisiologica salina.

Sx:Pretibiale-Non trattato

Dx:Pretibiale-Dopo 0.1 ml NaCl 0.9% IM
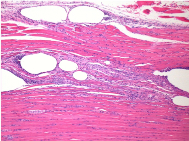
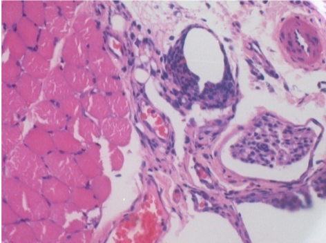
06
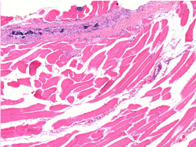
10 giorni dopo iniezione di Endopeel
Scatola Nr 2
- 10 giorni dopo iniezione 0.1ml di Endopeel nel muscolo pretibiale destro (Dx).
- Si osserva formazioni di vacuole , le quali circondate da linfociti.
- Le quali Vacuole sono differenti dal tessuto necrotico.
- La presenza di linfociti é correlata alla permeabilità delle membrane cellulari.

Sx : Controllo-100x-Giorno10

Dx:100x-Giorno10

Dx :200x-Giorno10

Dx :400x - Giorno10
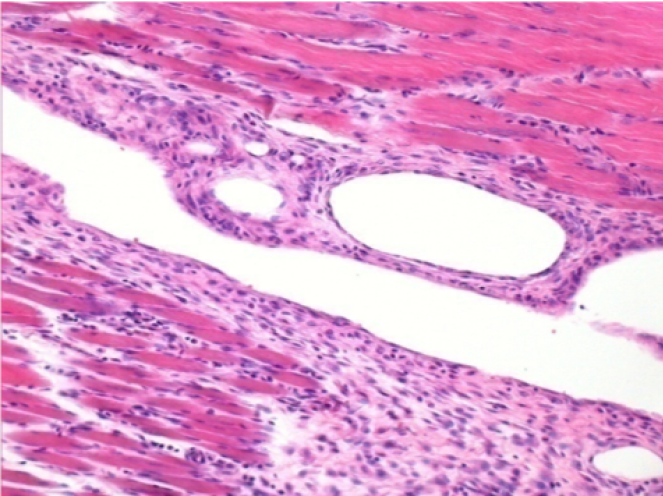
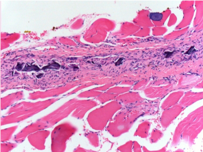
07
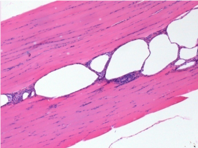
1 mese dopo Iniezione Endopeel
Scatola Nr 3
1 mese dopo Iniezione 0.1ml di Endopeel nel muscolo pretibiale destro ( Dx) .
Che cosa viene visualizzato in nero nella figura Sx : 100x-Giorno30 non é una necrosi come potrebbe immaginare un dilettante.
In effetti, 4 conclusioni devono essere prese in considerazione
- un artefatto di colorazione
- un`assenza di necrosi
- un`apoptosi
- un processo biorigenerativo

Sx : Controllo-100x-Giorno30

Dx:100x-Giorno30

Dx :400x-Giorno30
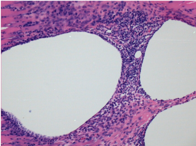
08
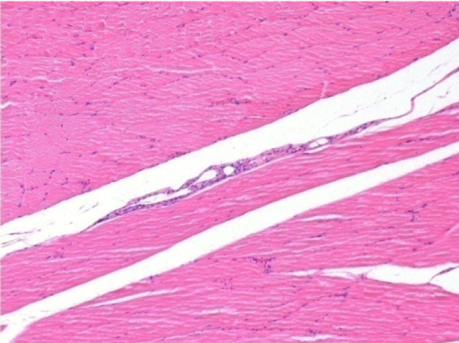
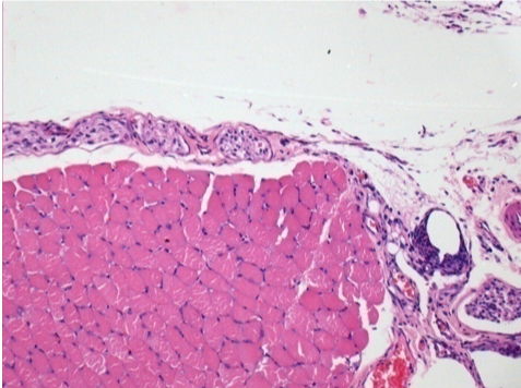
3 mesi dopo Iniezione di Endopeel
Scatola Nr 4
3 mesi (Giorno90) dopo iniezione 0.1ml di Endopeel nel muscolo pretibiale destro ( Dx)

Sx : Controllo-100x-Giorno90

Dx:100x-Giorno90
09
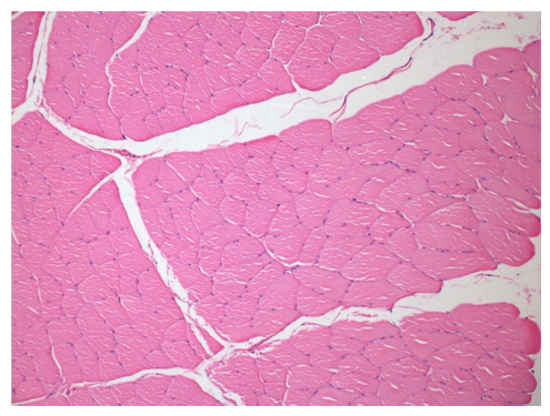
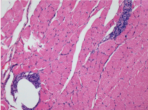
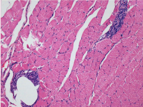
7 mesi dopo Iniezione di Endopeel
Scatola Nr 5
7 mesi (Giorno210) dopo iniezione IM di 0.1ml di Endopeel nel muscolo pretibiale destro ( Dx).
Restitutio ad integrum completo dopo 7 mesi

Sx : Controllo-100x-Giorno210

Dx:100x-Giorno210

Sx :Controllo 50x-Giorno210

Dx:50X-Giorno210
10
Iniezione Endopeel nel tessuto subcutaneo SC
Scatola 6
0.5 ml ( 5x 0.1ml): Iniezione SC di Endopeel nel tessuto pretibiale subcutaneo SC destro (Dx).

Sx:200x-Controllo-SC

Dx-Giorno10-SC-200X

Dx-Giorno30-SC-200X

Dx-Giorno90-SC-200X

Dx-Giorno210-SC-200X

Dx-Giorno210-SC-400X

-
Endopeel induce una miofibrolisi selettiva reversibile e una risposta infiammatoria approssimativamente nel periodo di 1 mese.
-
I cambiamenti dei tessuti muscolari sono quasi completamente reversibili.
-
Il muscolo é il posto migliore per iniettare Endopeel ,per la sua maggiore efficacità, il controllo e la durata della sua azione.
-
Nessuna necrosi ne ascesso sono stati osservati durante la sperimentazione.
Other Study applied to Gynecology
Other Study
